
Medical Journals

Sedation vs. General Anesthesia for Full‑Arch Implants: What You’ll Really Feel
Learn the differences between sedation and general anesthesia for full‑arch implant surgery. Understand what to expect during your procedure and how to prepare for your recovery.
September 17, 2025

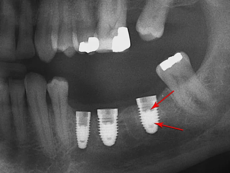
Redo Full‑Arch Implants: Why 20–30% Are Re‑Dos — and How to Avoid One
Learn why 20-30% of full arch implants need redo work and how to avoid common mistakes. Get expert guidance on evaluation, treatment options, and prevention strategies for successful implant outcomes.
September 16, 2025

Terms Explained: A Patient-Friendly Glossary
Easy-to-understand glossary of dental implant terms. Learn about treatment options, planning procedures, materials, bite comfort, and hygiene care in simple language that patients can understand.
September 13, 2025

All-on-X vs. Other Options: What to Consider Before You Decide
Compare All-on-X with traditional dentures, snap-in dentures, and dental bridges. Learn about each option, what to think about, and how to choose the best treatment for your full arch dental needs.
September 12, 2025

The Big Reasons Prices Range So Much
Learn why dental implant prices vary so much with our 10-point guide. Discover what affects costs, get a 6-question checklist to decode any quote, and understand Smileloc's transparent pricing approach.
September 12, 2025

All-on-X Failures: Why They Happen—and How to Avoid Them
Learn why All-on-X implants sometimes fail and how to prevent problems. Discover the 5 main reasons for failure, what puts you at risk, and how new technology like Smileloc can help avoid these issues.
September 10, 2025

Five Reasons Screw Holes Cause More Problems Than You Think
Comprehensive analysis of screw-retained dental implant problems including bacterial trapping, staining, prosthesis weakening, and maintenance complications. Discover why Smileloc's screwless technology eliminates these issues.
September 8, 2025

From Dentures to Smileloc: A Real Life Guide to Full Arch Dental Options
Compare traditional dentures, All-on-4, and Smileloc full arch dental options. Read real patient stories, learn about treatment choices, and get helpful tips for making the best decision for your smile.
July 28, 2025

PMMA vs Zirconia: Choosing the Right Full Arch Prosthesis Material
Learn about PMMA vs Zirconia materials for full arch prosthesis. Discover Ivoclar Ivotion technology, natural looks, durability, and what to consider when choosing the right material for dental work.
July 25, 2025

Accuracy and Tolerance of RODO Abutment Critical Dimensions
Precision engineering meets clinical excellence in this detailed study of RODO abutment critical dimensions. Our research examines manufacturing tolerances, dimensional accuracy, and their impact on prosthetic fit and long-term success. Essential reading for prosthodontists and implant specialists seeking optimal abutment selection and predictable outcomes.
January 1, 2018

Assessment of Nickel Ion Release from Smileloc Sleeves
Comprehensive safety study evaluating nickel ion release from Smileloc sleeve materials in oral environment. Research confirms excellent biocompatibility and corrosion resistance for long-term clinical safety.
January 1, 2018

Intra-Oral Temperatures During Unlocking of Smileloc Retained Restoration Using Smilekey
Scientific study analyzing intra-oral temperature changes during Smilekey removal procedures. Research shows minimal thermal impact on oral tissues during Smileloc restoration maintenance.
January 1, 2018

Corrosion Resistance of Smileloc Exposed to the Oral Environment
Comprehensive electrochemical study evaluating the corrosion resistance of Smileloc devices in oral environment conditions. This research examines pitting, crevice, and galvanic corrosion through potentiodynamic polarization testing, comparing Smileloc performance against orthodontic archwires. Results demonstrate superior breakdown potentials and excellent corrosion resistance even after 6 months of clinical use, validating the long-term stability of nitinol-titanium interfaces in dental applications.
January 1, 2018

Clinical Application of a Shape Memory Implant Abutment System
A clinical study evaluating a novel shape memory implant abutment system using nitinol technology. This research compares the new system to traditional screw-retained and cement-retained prostheses, demonstrating improved retrievability, reduced complications, and enhanced patient satisfaction. Key findings include superior retention performance, elimination of screw loosening issues, and reduced peri-implantitis risk.
January 1, 2016